Smile Makeover
Complete Smile Makeovers and Full Mouth Rehabilitations
We offer bespoke full mouth rehabilitations, also known as complete smile makeovers. We have many patients who come to us for a variety of reasons, but to restore their smile and their confidence is almost always one of them.
We have over 25 years of experience where it comes to smile makeovers and have successfully treated thousands of patients over the years, giving them a new smile and a new found confidence.
During a smile makeover/full mouth rehabilitation, we can use a combination of dental treatments to achieve the outcome you desire, including:
Your most suitable options and your desired outcome will be discussed with you during a full dental consultation so that we can work out the perfect treatment plan for you.
______
0% payment plans available
How does a smile makeover work?
If you have chosen to go ahead with a smile makeover, you can expect your treatment to be broken down into 2 main stages:
Stage One: Addressing any necessary dental work that needs to be carried out to ensure that you are healthy/suitable for treatment. This is the most important stage and sometimes all that is required.
Stage Two: Looking at and discussing the cosmetic changes that you would like to achieve. Whether you like the Hollywood look or the natural look, we’ll tailor your treatment to give you your desired smile.
For more information or to book your consultation, please contact us.
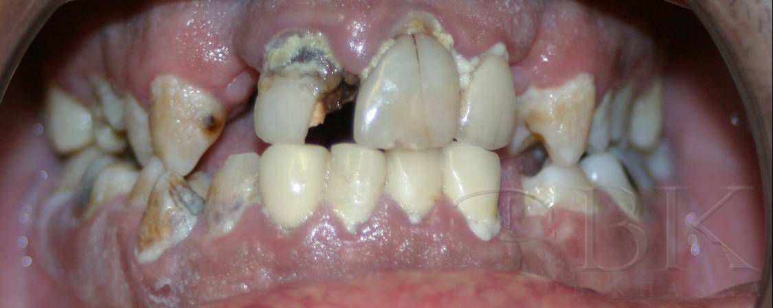
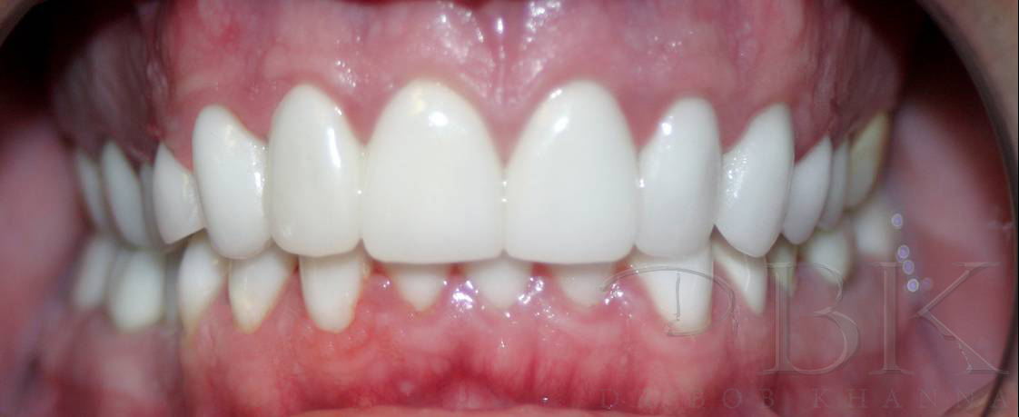
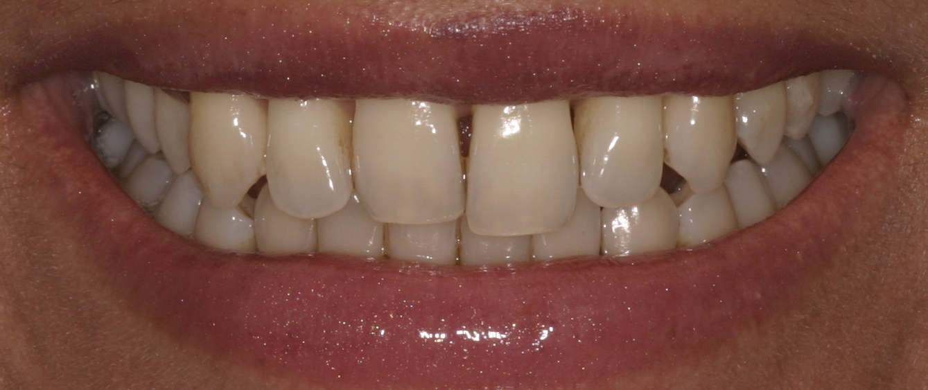
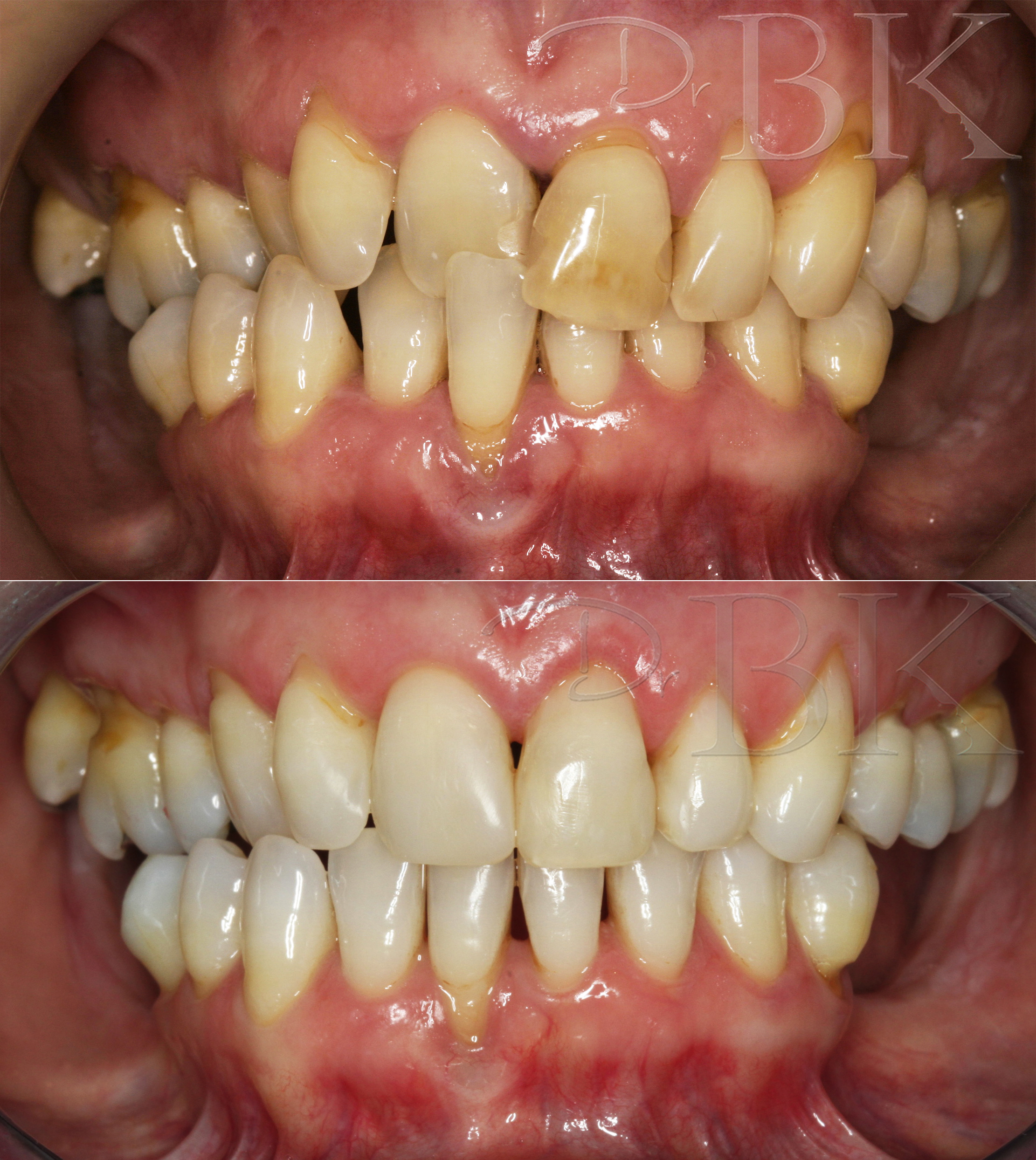
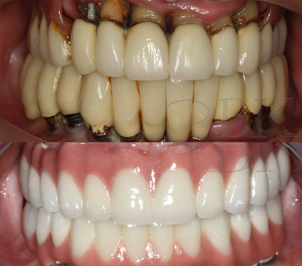
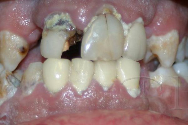
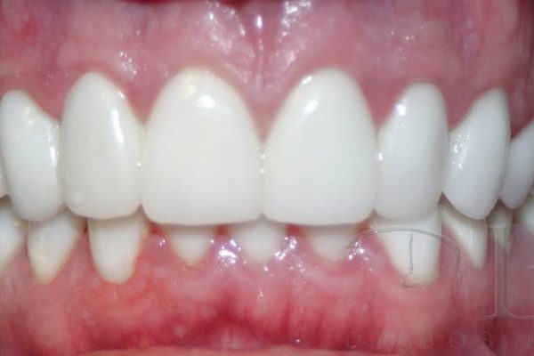
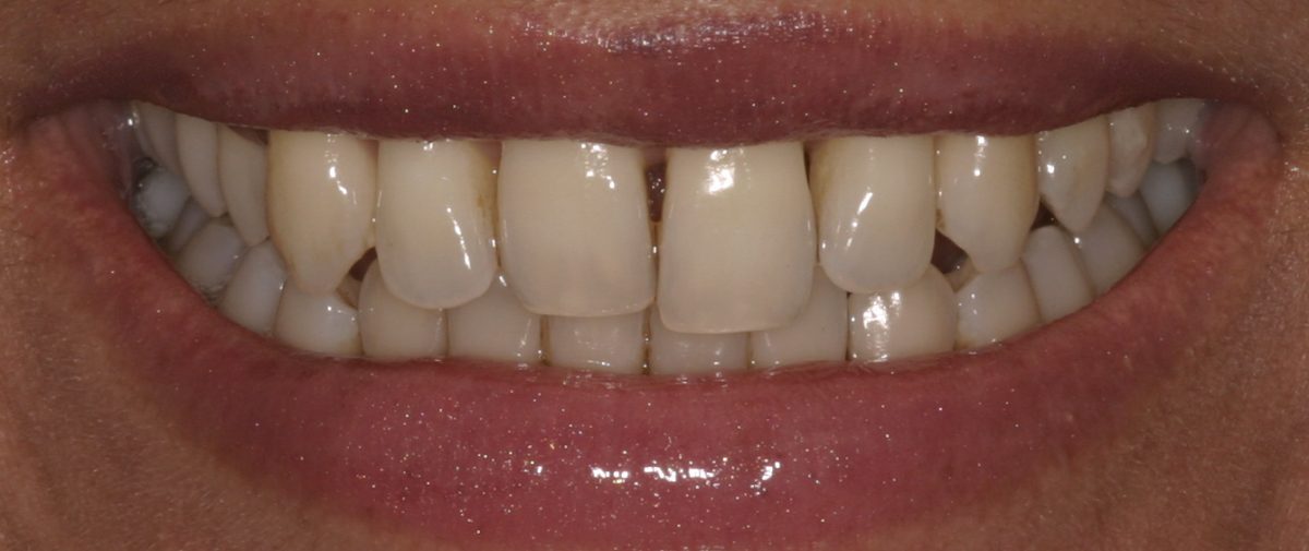
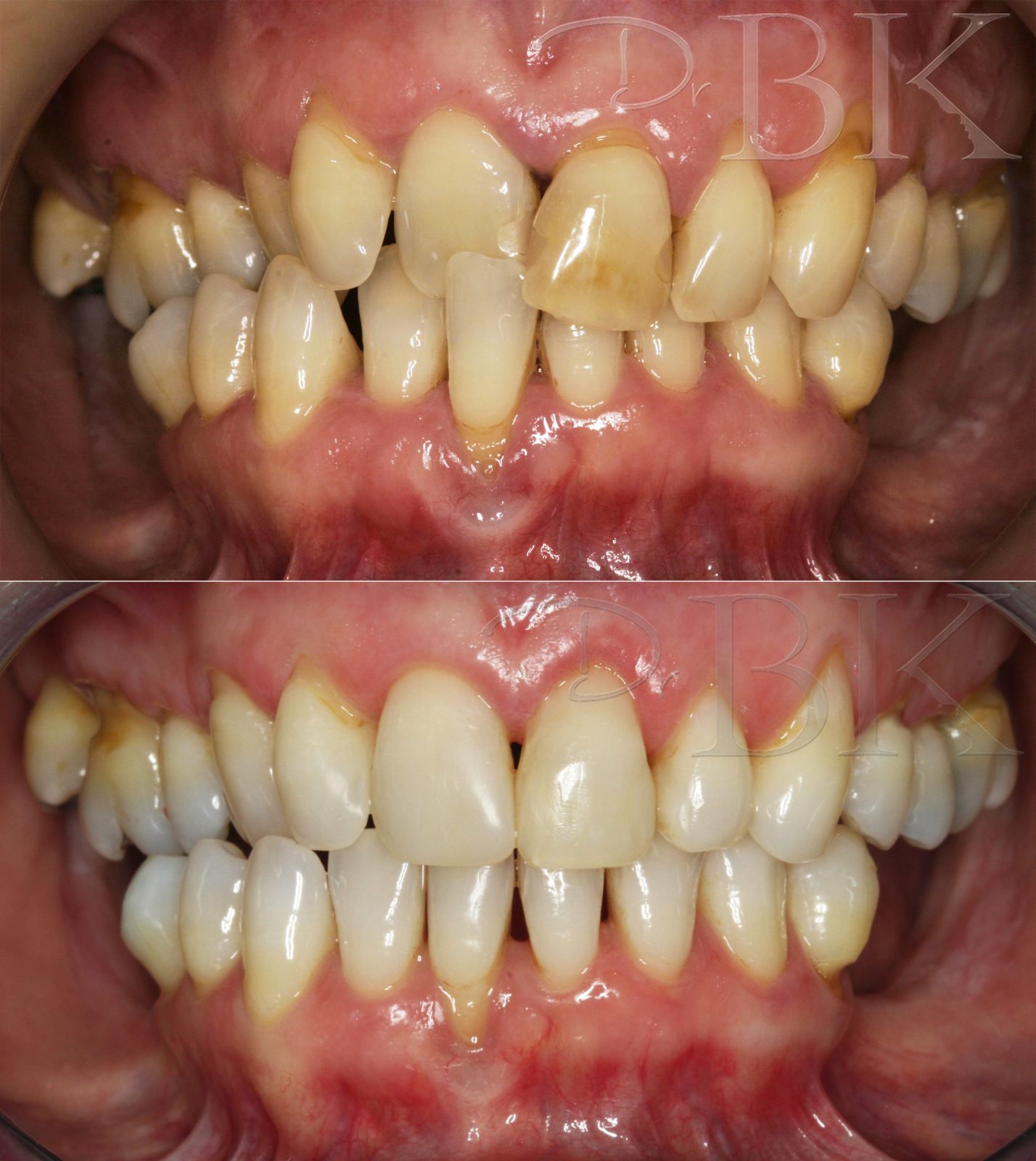
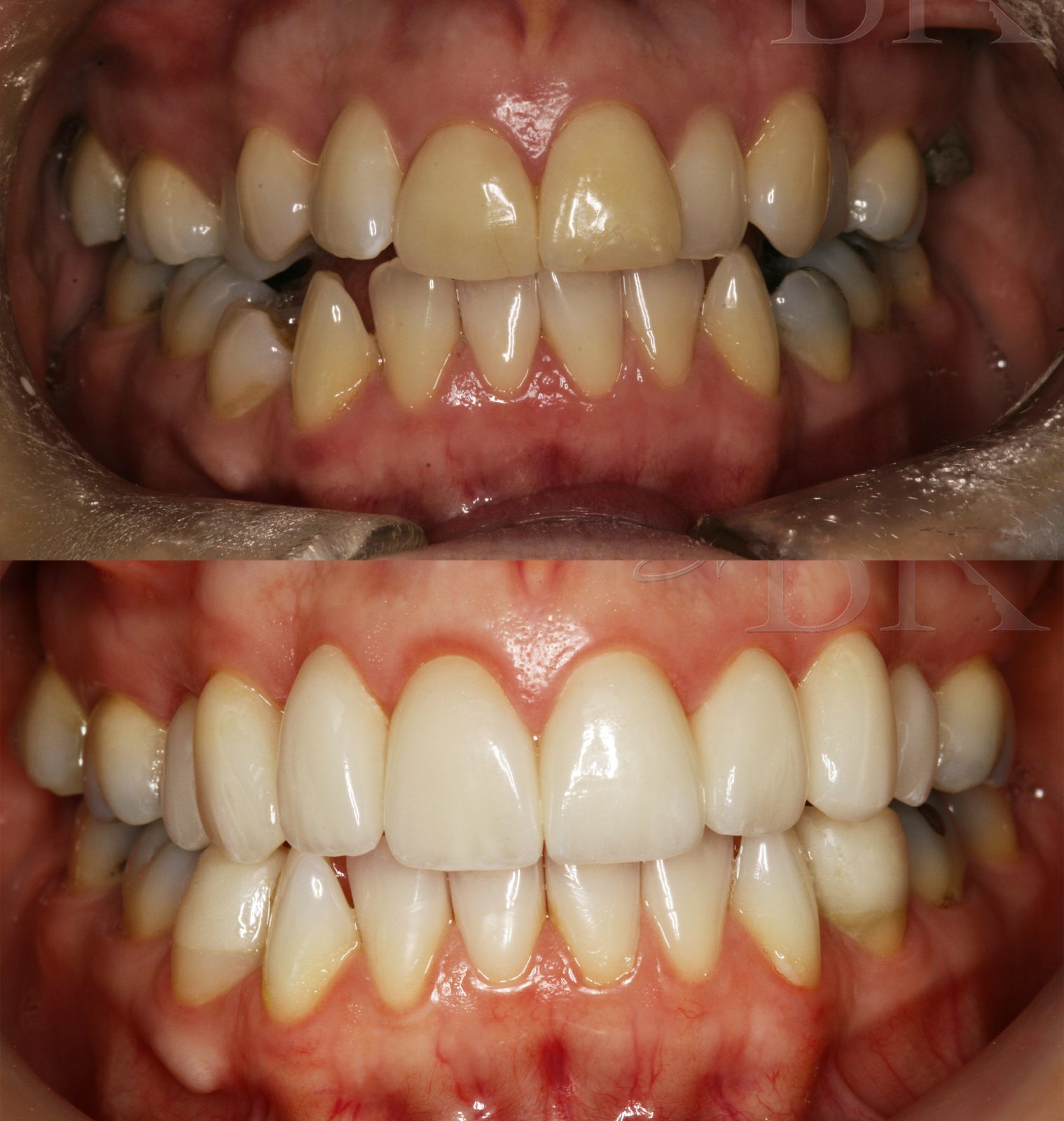
Before and After Photos
What our patients have to say about this treatment…
Smile Makeover FAQs
What will my recovery time be after a smile makeover?
The recovery time for a smile makeover varies depending on the procedures done. Simple procedures like whitening have minimal downtime, while more involved procedures like dental veneers might cause discomfort for a few days to a week. Complex procedures like implants or orthodontics can take weeks or months to heal completely. Following your dentist's instructions after your procedure/s at our clinic is key to a smooth recovery.
Which location do you offer smile makeover services?
We have two clinics, one on London’s Harley Street, and one in Reading. All of our dental treatments take place in our Reading cosmetic dental clinic, however, consultations can take place in London if this is easier for you. Any dental treatment you undergo will take place at our Reading clinic however.
Who is the ideal candidate for a smile makeover?
A smile makeover is a great option for many people who want to improve the look of their smile. Here are some signs that you might be a good candidate:
- Chipped teeth
- Stained teeth
- Gummy smile
- Uneven teeth
- Gaps
Your smile makeover may require multiple procedures so you should be in good health. It’s also beneficial to have realistic expectations and be committed to good oral hygiene following the makeover.
What are the benefits of a full smile makeover?
A full smile makeover isn't just about creating a picture-perfect smile. It can improve your overall oral health by addressing underlying issues and make chewing easier. Cosmetic improvements can significantly boost your confidence and self-esteem, potentially impacting your personal and professional life. With proper care, the results can last for many years, making it a worthwhile investment in both your appearance and your wellbeing.
How long does a smile makeover take?
A smile makeover can take anywhere from a single visit to well over a year. Simpler fixes are quicker, while combining procedures or addressing major concerns like crooked teeth or missing teeth can take months or even a year. Booking a consultation with our team will allow for a personalised timeline to be put together based on your specific needs.


















































