Dentures
Dentures – For replacing many of or all of your teeth
Dentures are used to replace missing teeth, they can replace many teeth at once and these are called full dentures or just one or a few teeth at a time which we call partial denture. We offer different types of dentures here at DrBK in Reading, with our most favourable being our implant-retained/supported dentures.
Dentures can be made from a plastic material called acrylic or a stronger metal material called chrome. They are suitable for all ages, despite commonly being associated with the elderly. They can be comfortable and made to look like just like your natural teeth. If you don’t like the sound of implant-retained dentures, we have other options available to you, including traditional dentures (that are glued to the gums).
Please see below some before and after photos of our patients and also some frequently asked questions.
______
Pricing:
Temporary denture | £473
Partial denture | From £578
Full denture | From £998
What are implant-retained dentures?
Implant-retained dentures are secured using implants, which involves placing small titanium screws into the jawbone, in which the dentures can click onto. They are easily removable and more stable than traditional dentures. If you find that your traditional dentures are unstable and/or that you would like to feel more confident and comfortable then this may be an option for you. If you would like more information about the different types of dentures we offer here at DrBK in Reading, please book a dental consultation.
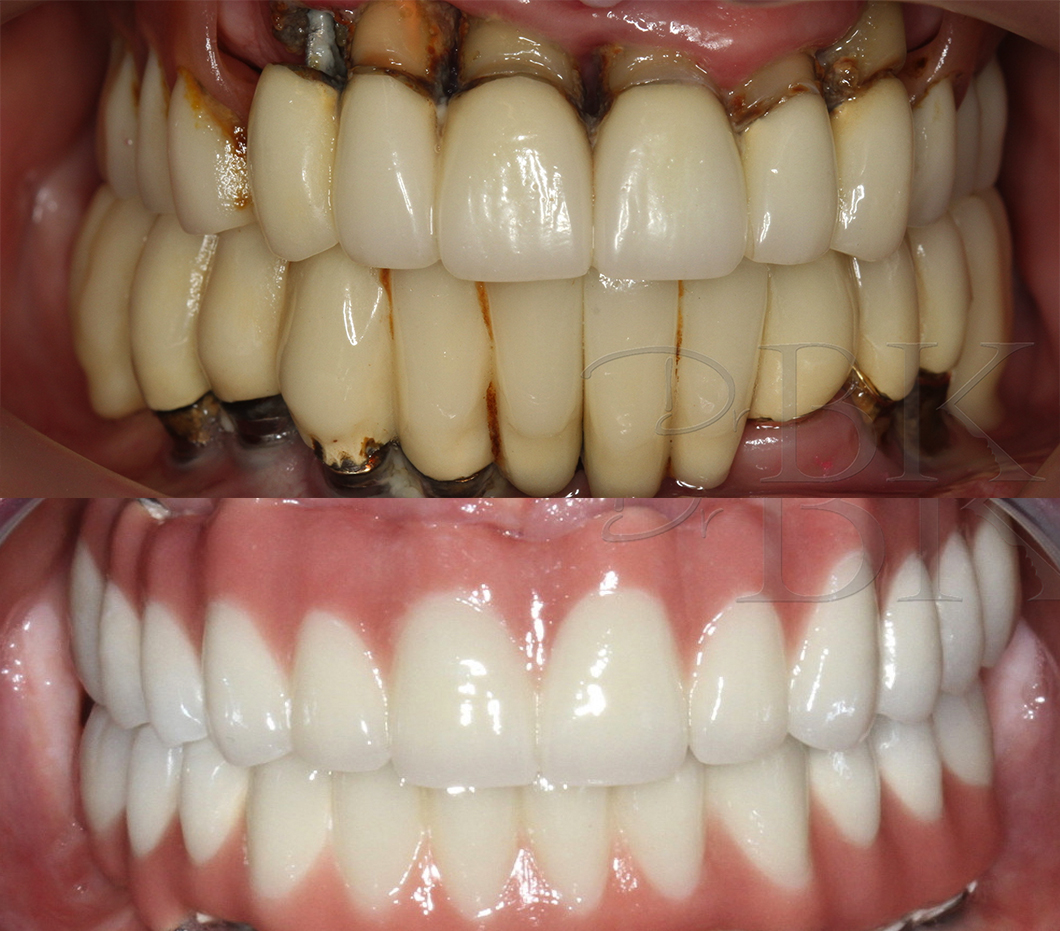
Before and After Photos
(Implant-retained dentures)
What Our Patients Say About This Treatment
Frequently Asked Questions
Will I be able to eat and speak properly once my new dentures are fitted?
Like anything new in the mouth it can take a while to get used to. You may find it difficult at first to adapt to your new dentures however practice is essential. Once you have mastered eating & talking, our patients usually have no problem at all.
Will dentures make me look different?
Dentures will replace your natural teeth and supporting tissue. We are able to tailor the dentures to be more natural-looking if this is what you desire.
If you have full dentures, these tend to give support to your cheeks and lips, and therefore offer a slight anti-ageing impact. Without this support, sagging facial muscles can make a person look older and they can find it difficult to eat or speak as they used to.
How long do dentures last?
Dentures can last for many years if looked after. The structure of your gums may changeover time and your dentures may need realigning if this happens. This is why it is really important to keep up with regular dental health examinations and maintain a good oral hygiene regime.
















