Dental Veneers
Veneers – For a more uniform-looking smile
Here at DrBK in Reading, we offer porcelain and ceramic veneers for a beautiful, uniform looking smile.
A veneer is a thin layer of tooth coloured material that can be fixed on to the front surface of your tooth. They are a perfect choice if you have stained, “gappy”, chipped or badly worn teeth. They can also be used to improve the shape and even close small spaces or gaps in between your teeth.
______
Pricing: From £998 per unit | View all fees and finance options
What does the veneer treatment involve?
The treatment usually takes place over two or three separate appointments. Within the first appointment, the outer layer of the tooth is prepared. You may be given some local anaesthetic to ensure you are comfortable during the procedure.
Impressions or a mould of your teeth is usually then taken in order to make the veneer(s). However, thanks to our 3D intra-oral scanner, we are able to easily create a 3D model of your teeth without the use of unpleasant impressions, by simply scanning your teeth! We will then discuss what shape and shade would be most suitable for you.
Once our lab technicians have carefully crafted your veneer you will then come back for a second appointment to try them on. Once we have got the perfect fit, the lab will then make the final veneer and you will come back for the final fitting.
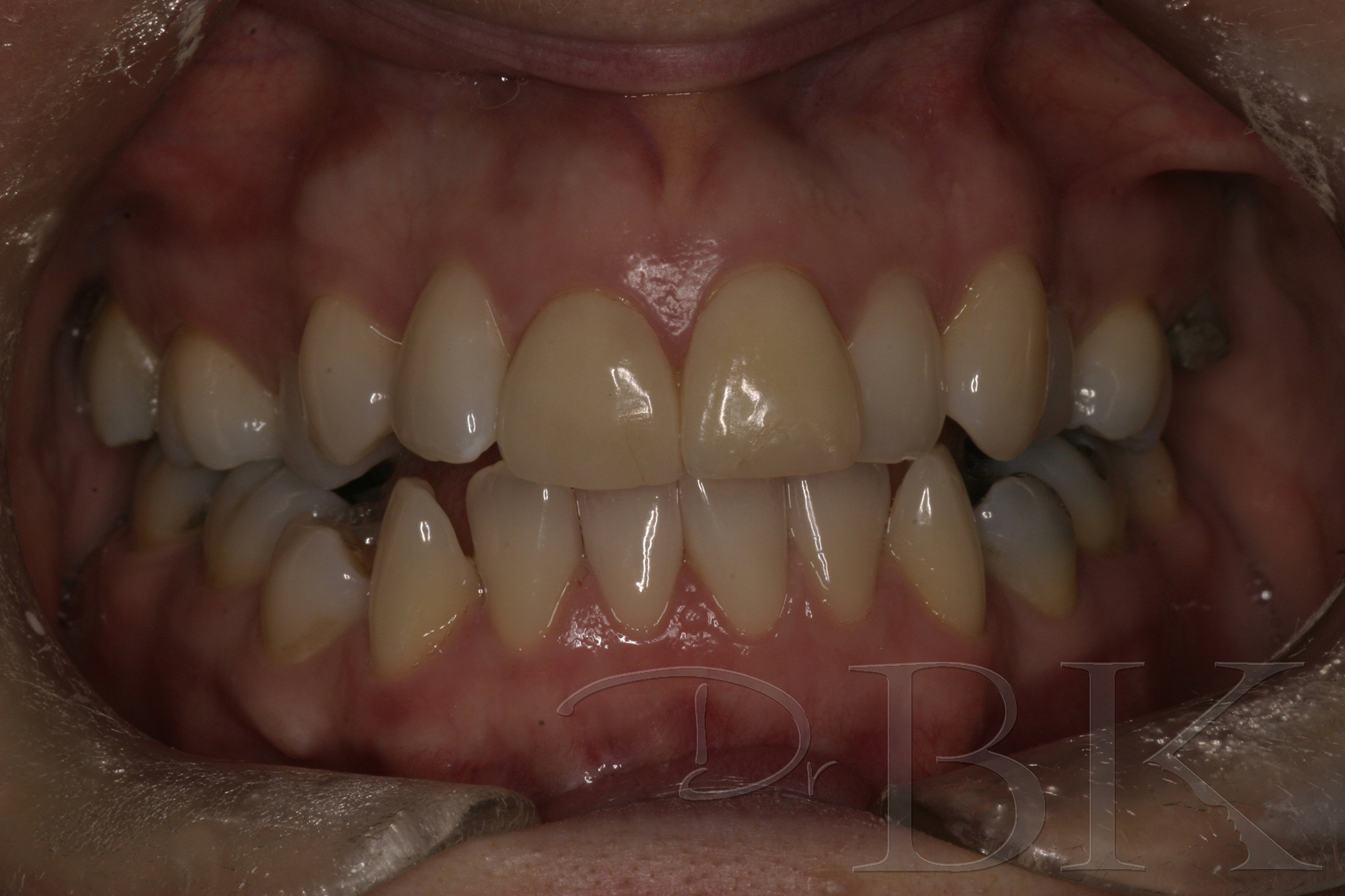
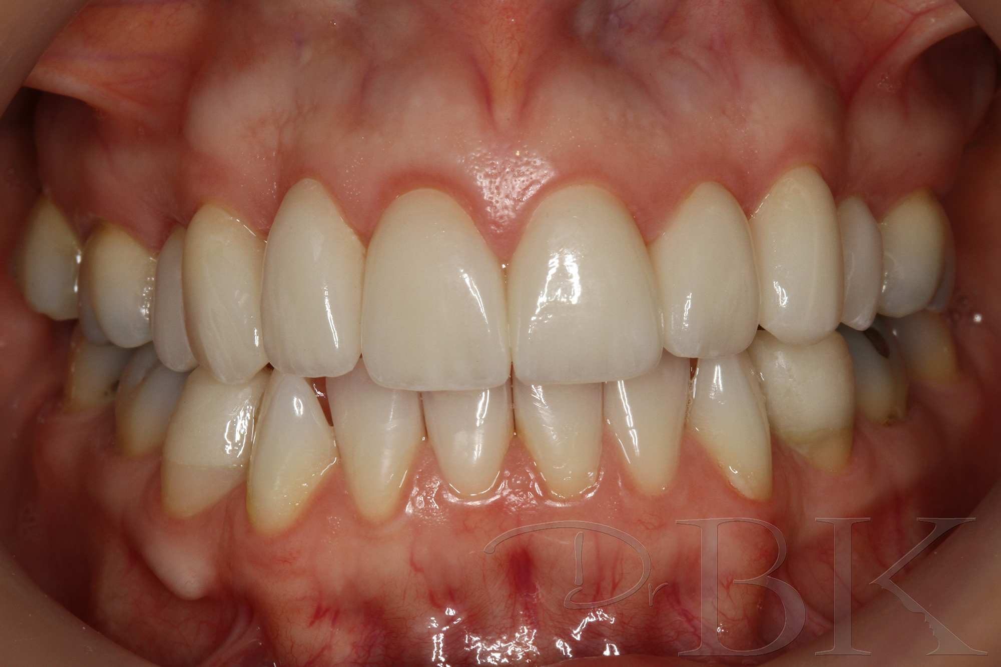
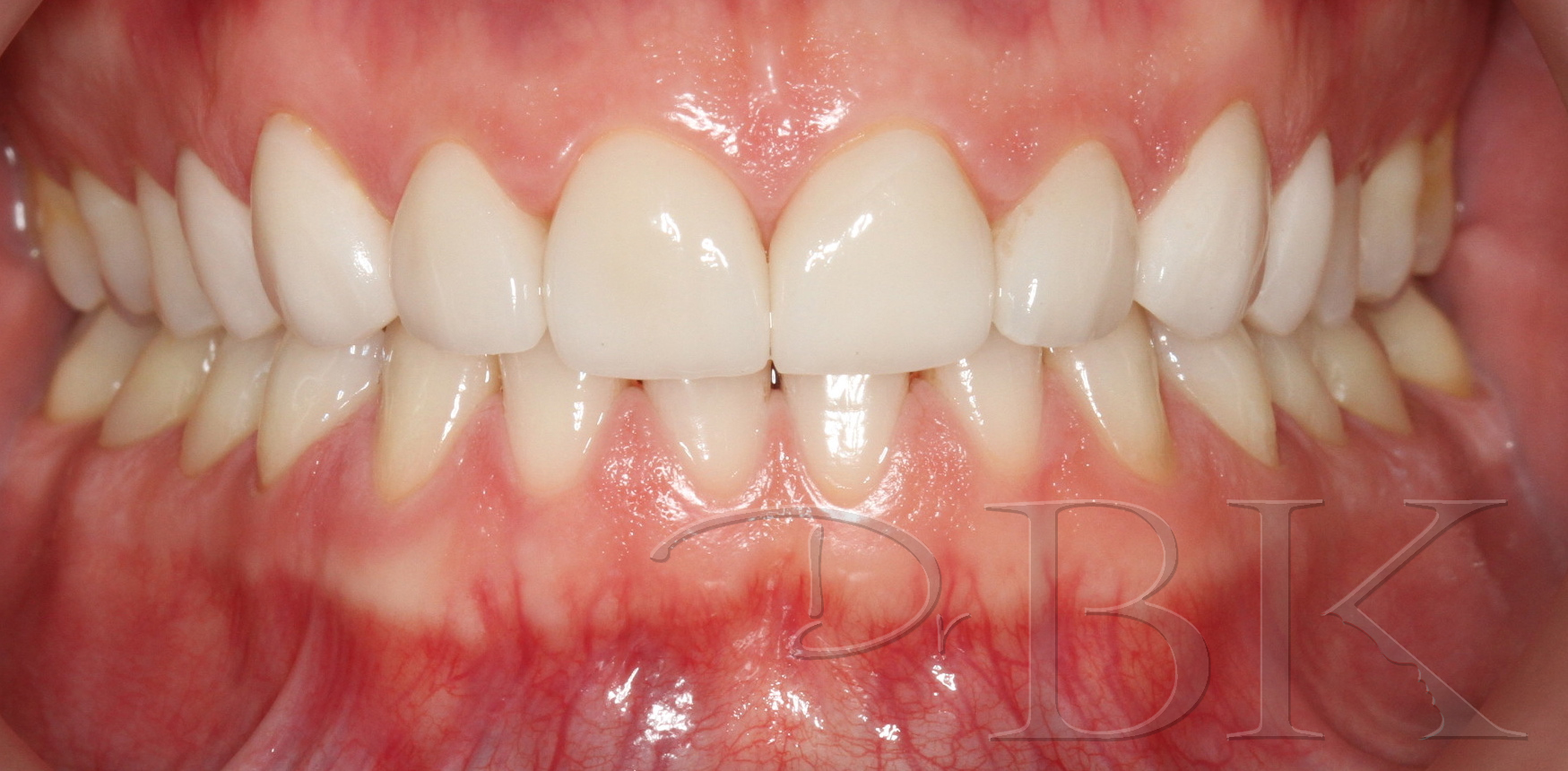
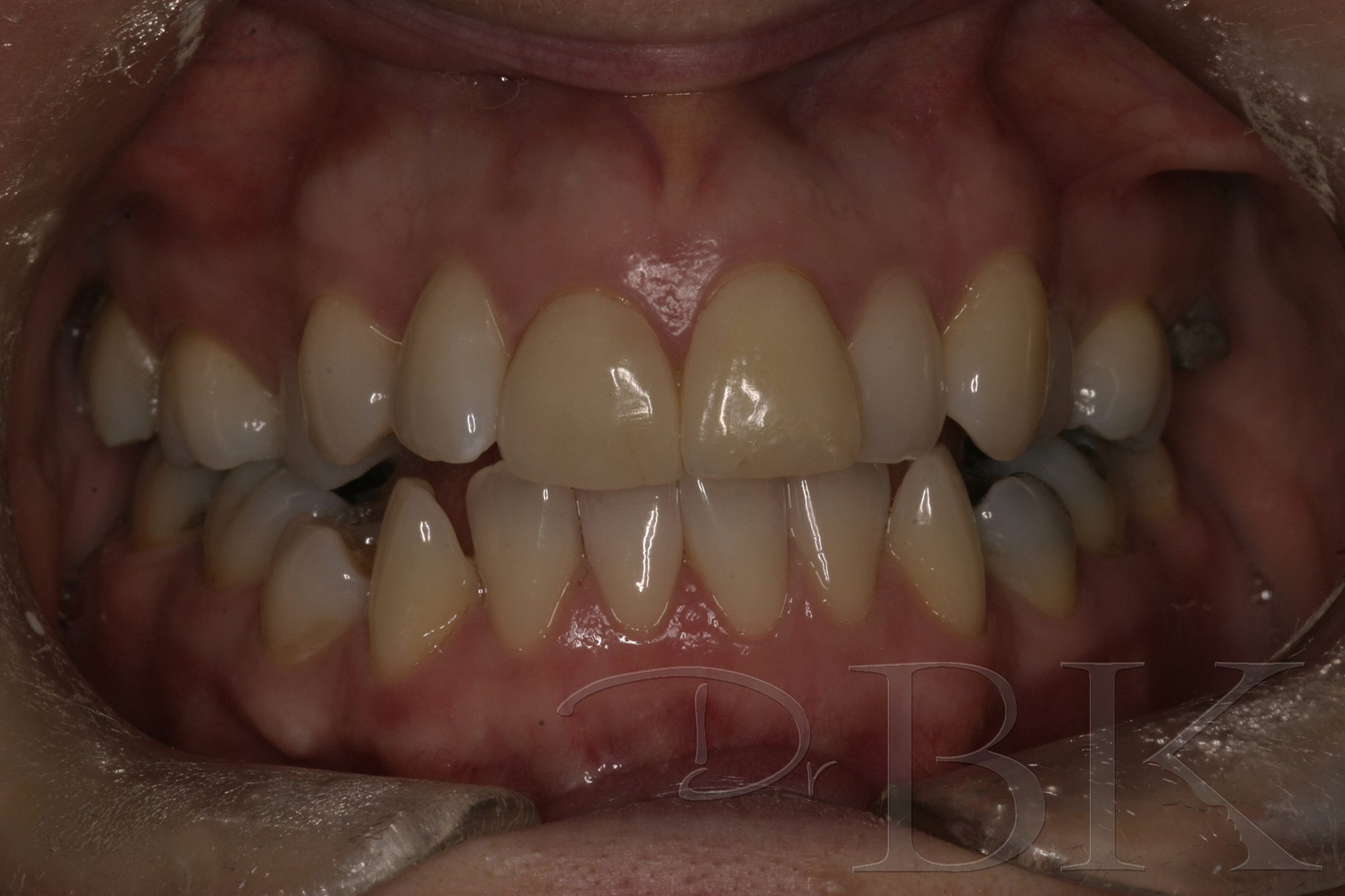
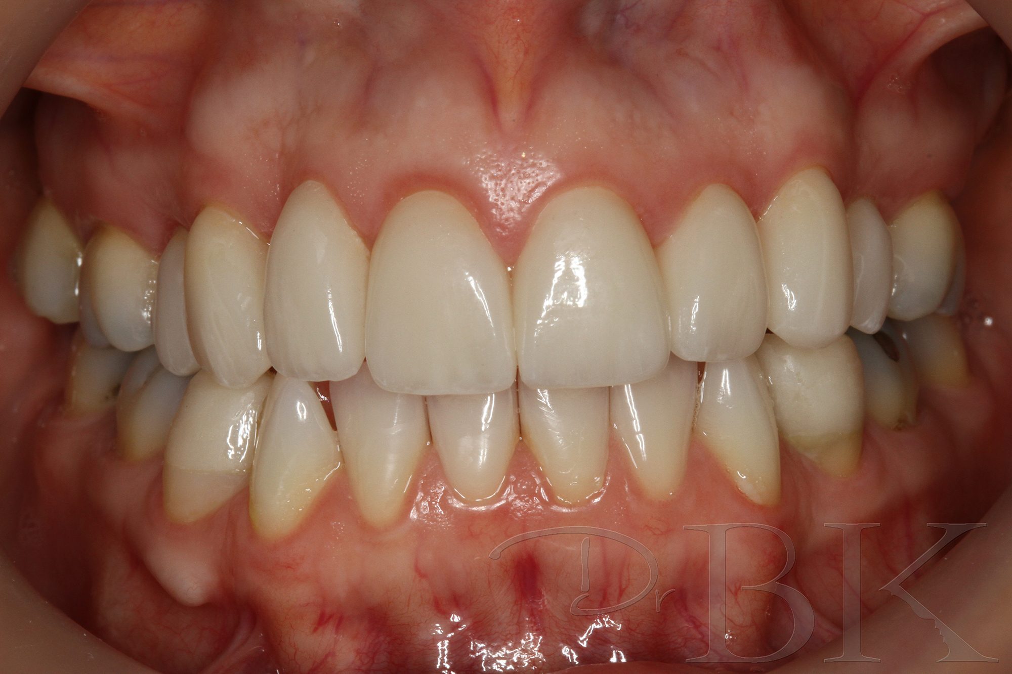
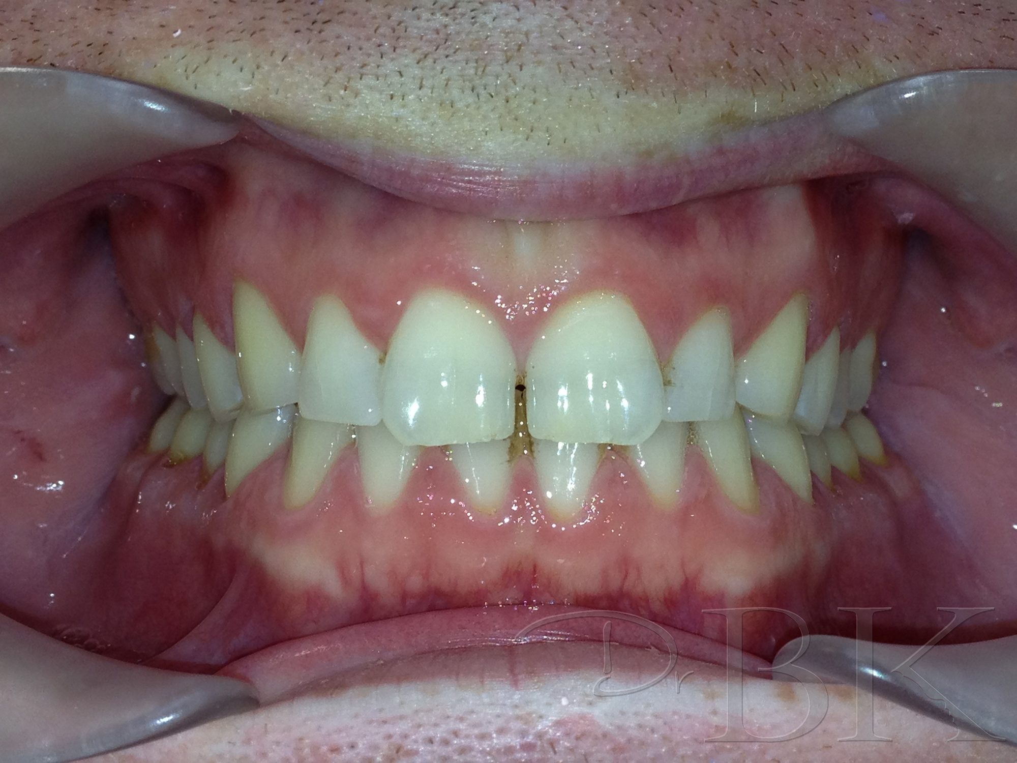
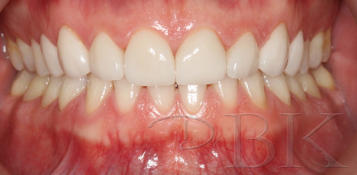
Before & After Photos
Dental Veneers FAQs
When would I need dental veneers?
Dental veneers are a great option in dental treatments when you want to improve the appearance of your teeth and smile. They are the ideal choice if you have teeth that are stained, chipped or badly worn. They are also a fantastic option to help where you may have gaps between your teeth.
Can I get porcelain veneers with Dr BK?
Yes. We offer both porcelain veneers and ceramic veneers, ensuring you can maintain your smile and give the look of bright, white natural teeth.
How long do dental veneers last?
Veneers can provide a long-lasting dental treatment solution. You can expect porcelain and ceramic veneers to last approximately ten years if they are looked after and you continue with regular dental checkups.
How long does a treatment for dental veneers take?
Whether you have ceramic or porcelain veneers you can expect the full treatment to be spread over two to three sessions.
Will I need a temporary veneer?
You may have a temporary veneer put in place if your veneer treatment requires a lab made dental veneer. This will only be for the time between the visits that enable your porcelain or ceramic veneer to be completed.
Does the treatment for porcelain veneers hurt?
We aim to make every client as comfortable as possible throughout every step of the process. There is a small chance that during the first appointment when the outer layer of the tooth is being prepared you may feel some discomfort. To mitigate that, we offer a local anaesthetic to maximise your comfort.
Does the treatment for ceramic veneers hurt?
Much like the treatment for porcelain veneers, the treatment for ceramic veneers may involve a small level of discomfort during the first appointment. With this treatment, we can also offer a local anaesthetic to ensure you remain comfortable.
How much does treatment for dental veneers cost?
We believe in being open and honest with our clients regarding the costs of treatments. The cost of our dental veneers starts from £1300. There are no hidden charges, and we always make sure affordability is central to our offering. We can provide interest-free finance options for dental veneers should it be a more favourable option.
Can I book with Dr BK for dental veneers in London?
At present, our London clinic does not offer dental veneers, but you are welcome to book a consultation in our Harley Street clinic if you wish. You would then need to attend our Reading cosmetic dental clinic for any treatments you book with us. Contact us to organise your consultation.
What other dental treatments does Dr BK offer?
Thanks to the many years of experience our knowledgeable team has built up, we can assist with a wide variety of dental treatments. Whether it be a treatment for bruxism, a teeth whitening or root canal treatment.
Is Dr BK a member of the GDC?
Yes. Dr BK is a member of the General Dentist Council and is regulated by the CDC.









































