___ The DrBK Lift: The Ultimate “Non-Surgical Facelift” A Combination Treatment of Thread Lifting, PRP and The CutisLift The DrBK Lift is a new combination treatment by Dr Khanna. It involves using threads, PRP and …
DrBK Clinic News
Dr Bob Khanna and Aesthetic’s Latest Innovations – With Alice Hart-Davis
Dr Bob Khanna and Aesthetic’s Latest Innovations – A Conversation With Cosmetics Expert Alice Hart-Davis Award Winning Journalist and Founder of The Tweakments Guide, Alice Hart-Davis travels to DrBK in Reading to see what leading …
Continue reading “Dr Bob Khanna and Aesthetic’s Latest Innovations – With Alice Hart-Davis”
What Is Winter Doing To Your Skin?
7 Tips To Help You Look After Your Skin This Winter The winter can be particularly hard on our skin for several reasons. When we’re exposed to the cold, our skin won’t be getting as …
“Chronic jaw pain made me suicidal”
Living with chronic pain: Kay’s Story Kay saw 6 doctors before visiting DrBK; none of them believed her when she said she was in agony.. Temporomandibular joint disorders are problems that affect the ‘chewing’ muscles …
Migraine Awareness Week 2021
5th – 11th September 2021 Are you a sufferer of migraines or headaches? Migraines are currently the third most common disease in the world. An estimated 1 in 7 of us in the UK suffer …
“Fixing my smile after my car crash”
An unfortunate car crash left Lorcan with broken teeth and a fractured face. After being involved in a serious car crash at the start of 2020, Lorcan was left with a missing front tooth and …
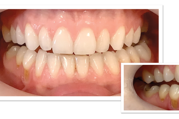
“I couldn’t bite or chew for two years”
Dental issues left Becky unable to chew, bite, or talk properly for two years. Having great teeth is one thing. But being able to use them properly is another. Sometimes the most complex and debilitating …
5 Reasons Why Injectables Should Only Be Administered By A Medical Professional
Are you considering injectable treatments? The increase in demand for non-invasive procedures (such as fillers & anti-wrinkle injections), particularly in the social media era has led to a surge in unqualified practitioners (such as beauticians …
Continue reading “5 Reasons Why Injectables Should Only Be Administered By A Medical Professional”
What is stress doing to your teeth and health?
Stress: The Symptoms and Treatments Do you… Grind your teeth? Suffer from headaches? Jawaches? Even neck or back pain? If you answered yes to any of the above, then keep reading, this one’s for you… …
Continue reading “What is stress doing to your teeth and health?”
The Dangers of Teeth Whitening
In light of World Oral Health Day (Saturday 20th March), we wanted to delve into dental treatments that are becoming more and more popular everyday and ensure patients are taking the right precautions when looking …

















