Dental Hygienist Reading
Hygiene Appointments – To thoroughly clean your teeth and prevent gum disease
Maintaining a healthy smile is about more than just brushing and flossing regularly. It involves regular check-ups with your dentist and dental hygienist.
It is recommended that everyone should attend a hygiene appointment at least once every 6-12 months, in order to maintain good oral health. There is also nothing like the confidence that comes from making the most of your smile, so why not book your hygiene appointment at DrBK Reading, Berkshire?
Your appointments with our Dental Hygienist in Reading will not only help you achieve a dazzling smile but also play a pivotal role in your overall health.
During your appointment, our friendly hygienist will take time to advise you on all aspects of oral hygiene. We believe that education is key and learning how to look after your teeth and gums thoroughly at home is essential at preventing any further dental complications.
Please note; you do not need a checkup to undergo a hygiene appointment.
______
Pricing:
30 minutes: £79
60 minutes: £150
Airflow add-on: £35
Please note; If you are new to our practice, you will be required to undergo a 60 minute hygiene session (instead of 30).
Benefits
- Remove staining and discolouration caused by smoking or by drinking drinks such as red wine, tea and coffee etc
- Thoroughly remove dental plaque
- Restore white teeth
- Prevent gum disease
- Prevent tooth decay
- Prevent tooth loss
Go one step further with Airflow
Airflow is an advanced dental hygiene treatment that uses a controlled jet of air, warm water, and fine powder (often erythritol or sodium bicarbonate) to gently but effectively remove plaque, stains, and biofilm from teeth and gums. It’s minimally invasive, pain-free, and ideal for patients with sensitive teeth, implants, or orthodontic appliances.
Airflow is especially beneficial as a prevention-focused treatment, often used before scaling and polishing to improve cleaning efficiency and patient comfort. It leaves the mouth feeling noticeably cleaner and fresher in less time than traditional methods.
We offer the airflow as an add-on to all hygiene sessions for just £35.
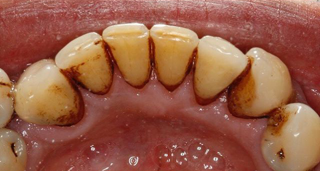
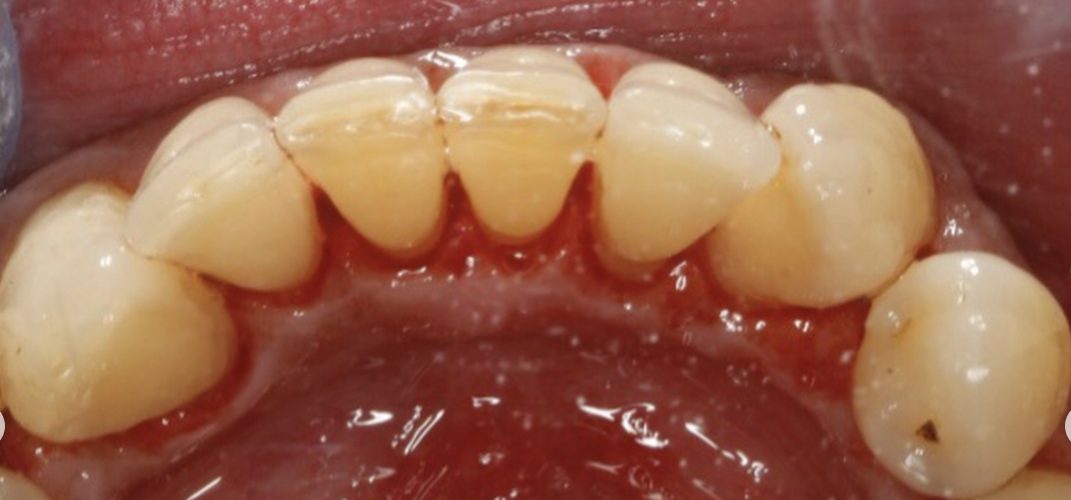
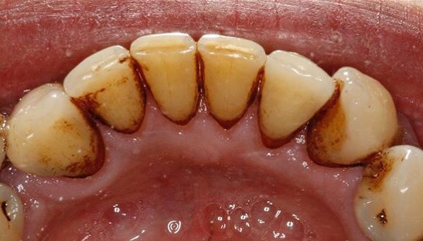
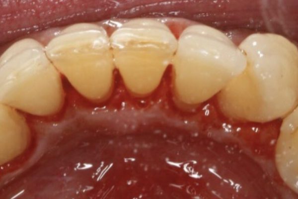
Before and After Photos















